
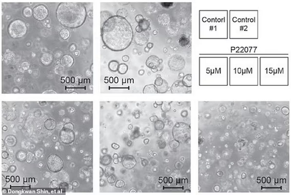
Cancer growth (top left) was reverted back to a health state (bottom right) โ credit Dongkwan Shin et al. What if the best course of action in the fight against cancer isnโt to fight at all? Rather than killing these mutated cells, a new study from Korea presents a treatment wherein they can be changed…

The Today presenter discovered, according to his X account, he was launching a new cryptocurrency. BBC journalist Nick Robinson says his X account was hacked and used to promote cryptocurrency after he was apparently targeted in an online phishing scam. The Today programme presenter became locked out of his account on X, previously known as…

99 years ago today, one of the most iconic chefs in the modern era, Paul Bocuse, was born. Bocuse is credited with many things, and itโs difficult to summarize his accomplishments and legacy but to name a few, he has been named โChef of the Century,โ holds the record for consecutive yearly 3-star awards by…

Assisted dying cases would no longer have to be signed off by the High Court under changes suggested by the bill’s supporters. The proposed law currently says a High Court judge must check each person is eligible and has not been coerced into making the decision to die. But BBC News has been told Kim…

โ credit Ashland School Foundation As the hours ticked by, superintendent Joseph Hattrick was flummoxed by the sheer number of cards and papers lined with cut-out hearts and birds, colored all over with heartfelt messages. Hundreds began to pile up in his officeโall saying the same thing: โThank you, (whoever you are).โ The Ashland Schools…

A nationwide blackout in Sri Lanka has been blamed on a monkey that intruded into a power station south of Colombo. Power is gradually being restored across the island nation of 22 million people, with medical facilities and water purification plants being given priority. “A monkey has come in contact with our grid transformer, causing…

BBC James Howells tried to sue Newport council to gain access to the landfill site A computer engineer who lost ยฃ620m-worth of Bitcoin wants to buy the tip where he believes it is buried. James Howells, from Newport, claimed his ex-girlfriend mistakenly chucked out a hard drive containing 8,000 bitcoins in 2013. He tried to…

Getty Images for Unsplash+ Graying hair is a hallmark of aging and often considered an inevitable part of growing older. However, recent research from Nagoya University in Japan suggests that an antioxidant might suppress this process. Researchers Masashi Kato and Takumi Kagawa identified luteolin, an antioxidant found in vegetables, as being a potential anti-graying agent.…

A clinical Australia completed a nine-wicket victory over Sri Lanka early on day four in Galle to seal a dominant 2-0 series win. The tourists took just 25 minutes to take Sri Lanka’s final two second-innings wickets, dismissing their hosts for 231. That left Australia, who won the first Test by an innings and 242…